
왜관지역 낙동층 역암에서 산출되는 천해 탄산염암 기원의 쳐어트 역: 선경상분지 기원지에 대한 새로운 증거
초록
경상누층군 최하부에 해당하는 낙동층에서는 지금까지 천해 탄산염암 기원의 역이 보고된 바 없다. 본 연구에서는 경북 왜관지역 낙동층 중부의 역암 및 역질사암에서 천해 환경에서 형성된 탄산염암이 쳐어트화된 역을 처음으로 보고한다. 이들 쳐어트 역은 골격 팩암 내지 입자암과 어란상 입자암으로 구성되며, 박편 관찰 결과 태선동물, 저서성 유공충, 산호편 및 방추충 등의 생쇄설물 입자로 구성되어 산호초 주변의 천해 탄산염 환경에서 형성되었음을 지시한다. 이번 연구결과와 고수류를 포함한 기존연구 결과를 종합적으로 고려하면 경상분지 형성 초기에 분지 서측 기원지에 선백악기에 형성된 부가복합체가 존재했음을 시사한다.
Abstract
Pebbles derived from shallow-marine carbonate rocks have not previously been reported from the Nakdong Formation, the lowermost unit of the Gyeongsang Supergroup. This study reports, for the first time, chertified carbonate pebbles formed in shallow-marine environments from conglomerates and pebbly sandstones in the middle part of the Nakdong Formation in the Waegwan area, southeastern Korea. These chert pebbles consist mainly of skeletal packstone to grainstone and ooid grainstone. Petrographic observations reveal abundant skeletal grains, including bryozoans, benthic foraminifera, coral fragments, and fusulinids, indicating deposition in a shallow-marine carbonate environment associated with reefal settings. When considered together with previous studies, including paleocurrent data, the occurrence of these chertified shallow-marine carbonate pebbles suggests that a pre-Cretaceous accretionary complex was present in the western source area during the early development of the Gyeongsang Basin.
Keywords:
Nakdong Formation, chertified carbonate pebbles, shallow-marine carbonates, Gyeongsang Basin, accretionary complex키워드:
낙동층, 쳐어트화된 탄산염암 역, 천해 탄산염암, 경상분지, 부가복합체1. 서 언
한반도 지질발달사의 이해에 매우 중요한 공간적 요소가 되는 경상분지는 Koto (1903)와 Tateiwa (1929)에 의해 시공간적 실체가 확인되었고, 이후 Chang (1975, 1977)에 의해 암층서가 체계화된 이래, 지구조와 고환경 등에 대한 여러 측면에서의 연구가 진행되면서, 경상분지에 대한 포괄적인 이해에 많은 발전이 이루어져 왔다. 경상분지를 형성시킨 지구조 운동의 특성과 변화과정에 대해서는 현재까지 완전한 실체가 규명되지는 않았지만(Choi, 1986; Lee, 1999; Okada, 1999; Chough and Sohn, 2010), 최근에 이루어진 광역적인 구조분석에 의해 고태평양판(Izanagi Plate)의 유라시아판에 대한 북북서 방향으로의 섭입으로부터 기인된 배호지역에서의 변환인장(transtensional) 운동으로부터 경상분지의 발달이 시작된 것으로 제시되었다(Cheon et al., 2020).
한편 최근 경상분지의 기원지와 지구조 환경 등에 대한 새로운 연구결과들이 발표되면서 경상분지 생성 이전의 쥐라기에서 전기 백악기 사이에는 경상분지 지역이 지구조적으로 전호(forearc) 지역이었음이 제시되었다(Lim et al., 2019; Lee et al., 2023). 이와 함께 선경상분지(Pre-Gyeongsang Basin) 시기에 경상분지의 서측에 고철질암을 포함한 대륙부가복합체의 부분적인 존재 가능성이 제시되어(Paik et al., 2020), 선경상분지 시기의 한반도 남부의 지질 특성에 대해서는 새로운 시각에서의 연구가 보다 발전적으로 이루어질 필요성이 있다.
경상분지 발달 초기의 기원지는 경상분지 서측의 영남육괴와 북서측의 옥천변성대로 해석되었다(Chang and Kim, 1968; Choi, 1986; Koh, 1986; Lee et al., 2015). 이와 함께 쇄설성 저어콘의 연대측정 자료를 기준으로 경상분지 발달 초기의 경상분지 서측의 기원암 또한 영남육괴와 옥천변성대의 암석이 지배적인 것으로 해석되었다(Lee et al., 2018; Choi et al., 2020). 이러한 가운데에 Lim et al. (2019)은 미량원소 조성을 바탕으로 신동층군 퇴적 당시 서측부에 맨틀쐐기의 감람암이 소규모로 분포했을 것으로 추정하였다. 한편 Lee et al. (2023)은 경상누층군 하부의 기원암 연구자료를 종합적으로 분석하여, 선경상분지 시기에 경상분지 서측에는 지금은 풍화침식에 의해 사라져 버린 화산활동과 연관된 암체가 존재했을 가능성을 제시하였다.
이처럼 지금까지의 경상분지 기원암 연구의 대상은 기반암과 화성암에 대한 것이 주를 이루었으며, 선경상분지 시기 경상분지 서측의 지질특성에 대한 이해의 구체성은 아직 제한적인 상태이다. 경상분지가 열릴 당시에 이 지역의 기반암 위에는 지금은 삭박되어 사라져 버린 선경상분지의 시기를 가지는 퇴적암층이 일정 부분 존재했을 것이나, 지금까지 이를 추적한 연구는 이루어지지 않았다.
이러한 맥락에서 이 연구는 경상누층군의 최하부 지층인 낙동층으로부터 선경상분지의 시기에 지금까지 알려진 바 없는 산호초 기원의 천해퇴적암층이 경상분지 서측에 존재하였음을 지시하는 쳐어트(chert) 역의 산상을 처음으로 보고하고, 이를 바탕으로 선경상분지 시기의 한반도 지질 특성에 대해 보다 전문화된 후속 연구의 기초자료를 제공하고자 한다. 이 연구에서 처음 보고되는 새로운 자료는 경상분지 진화 과정을 입체적으로 이해하기 위한 퍼즐조각을 맞추는 데에 도움이 될 것이다.
2. 지질개관
연구지역인 왜관 일대는 영남육괴에 속하는 선캄브리아 시대 화강암질편마암이 기반암을 이루는 곳이다. 이들 기반암 상부에 경상분지의 최하부 지층인 낙동층이 부정합으로 분포하는데, 이 지역의 낙동층은 대략 중부에 해당한다(그림 1a). 한편 Cheong and Paik (1992)는 이 지역 일대에 분포하는 낙동층을 하부로부터 역질사암과 이암, 탄질셰일 등으로 이루어진 금무산층, 역암과 역질사암, 셰일 등으로 구성된 낙산리층 및 사암과 이암의 호층이 주를 이루는 금호리층으로 세분하기도 하였다. 이들 퇴적층은 전반적으로 북동 주향과 남동 방향의 경사를 보이지만 국지적으로 북서 주향이 나타나기도 한다.
(a) Geological map of the study area. (b) Simplified stratigraphic section of the study area. (c) Occurrence of intraformational clasts (mudstone chips) in channel conglomerate. (d-f) Occurrences of the chert pebbles (dotted circles) in the planar- to cross-laminated sandstones.
낙동층의 지질시대는 낙동층의 하위 지층인 묘곡층의 절대연령(138.6±2.1 Ma)과 고생물학적 자료를 고려하여 125∼130 Ma에 속하는 지층으로 제시된 바 있다(Kang and Paik, 2013). 최근 Lee et al. (2014)는 의성소분지의 낙동층에서 분리한 저어콘으로부터 SHRIMP U-Pb 연대측정을 실시하여 낙동층의 최대퇴적시기를 백악기 전기 바렘절(Barremian)에 해당하는 127.7±1.3 Ma로 제시하였다.
연구지역 일대의 낙동층은 전반적으로 복성역암과 역질사암, 석영질사암과 암편질사암, 셰일질이암 등이 반복되며, 이암층 내에는 석회질 또는 버티졸질의 고토양이 부분적으로 발달한다. Paik et al. (2014)은 이들 퇴적층에 대한 퇴적상 분석을 통해 연구지역 일대의 낙동층이 저굴곡하천(망상하천)의 하도와 사주, 그리고 그 주변의 범람원 환경 등의 퇴적시스템에서 퇴적된 것으로 해석하였다. 이 중 연구지역의 퇴적층은 저굴곡하천(망상하천)의 하도 또는 사주 기원의 렌즈상 층리를 이루며 역질조립사암과 중립 내지 세립사암이 상향세립화층을 형성한 사암(lenticular-bedded, fining-upwardly stacked pebbly coarse-grained sandstone to medium- to fine-grained sandstone) 퇴적층과 그 위에 발달한 범람원 기원의 셰일층으로 구성된다. 이러한 퇴적상 구성은 연구지역 일대 전반에 걸쳐 반복되어 지배적으로 나타난다. 이는 이 지역의 낙동층이 저굴곡의 망상하천이 폭넓게 발달한 가운데 일정 기간 지속적으로 퇴적되면서 형성되었음을 시사한다.
한편 연구지역의 북측 배후 산지인 금무봉의 남측 사면 일대의 낙동층에서는 아열대성의 나무고사리화석의 산출이 일제 강점기 이후부터 근래에 이르기까지 간헐적으로 보고되어 왔다(Ogura, 1927, 1941; Cheong and Paik, 1992; Kim et al., 2015).
3. 쳐어트 역
3.1. 쳐어트 역의 산상
연구대상인 쳐어트 역들은 이 지역에서 이루어진 터파기 공사(시기 미상) 과정 중에 산출된 일부 암괴들에서 발견되었다. 따라서 쳐어트 역이 포함된 암석의 구체적인 퇴적 산상을 노두에서 관찰할 수는 없었지만, 이 암괴들이 박락된 절토면의 퇴적층 구성과 이 지역 퇴적암층의 하부에 놓인 퇴적암층의 노두 정보 등으로 작성된 연구 지역의 퇴적층 산상은 그림 1b와 같다. 즉, 셰일질이암층 위에 침식기저면을 가지며 발달한 역암 내지 역질사암층이 놓이고, 그 위에 판상 내지 저각의 사엽층리가 발달한 조립 내지 중립사암층이 발달되어 있으며, 그 위에 셰일질이암층이 놓이는 전반적으로 상향세립화를 보이는 퇴적층으로 구성된다.
하부에 발달된 역암 내지 역질사암의 경우, 역들의 구성은 대체로 검은색을 띠는 이질의 층내역(intraformational clasts)이 주를 이루며(그림 1c), 외래 역들의 경우 편마암과 편암, 규암 등의 변성암이 관찰된다. 이 역들의 크기는 수 cm에서 수 mm 정도이며, 원마도는 대체로 양호한 편이나 분급은 불량하다. 한편 쳐어트 역들은 역질사암 또는 판상 내지 저각의 사엽층리가 발달한 조립 내지 중립사암층 내에서 산재되어 나타나며, 대체로 흑색을 띤다(그림 1d, 1e, 1f). 쳐어트 역들의 크기는 1 cm 내외에서 수 cm이고, 매우 양호한 원마도를 보인다. 쳐어트 역들을 포함하는 사암층은 대체로 암편질사암으로 이루어져 있으며, 입자들의 원마도는 아원상 내지 아각상을 띤다.
3.2. 구성성분과 특성
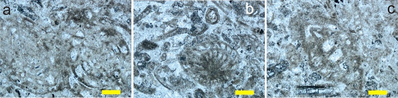
이 연구에서 확인된 쳐어트 역들은 쳐어트화된 골격 팩암 또는 입자암(skeletal packstone or grainstone; 그림 2, 3)과 어란상 입자암(ooid grainstone, 그림 4) 및 골편질(spiculite) 쳐어트(그림 5) 등이다. 쳐어트화된 골격 팩암 또는 입자암은 생쇄설물 입자들의 조직이 대체로 보존되어 있으며, 분급은 불량한 편이다. 생쇄설물 입자들에서는 대체로 파편상을 보이는 태선동물(bryozoan)이 우세하게 나타난다(그림 2a, 2b). 부분적으로 저서성 유공충(uniserial, biserial, triserial)이 대체로 완형으로 산출하며(그림 2c, 2d), 판상 산호편이 나타난다(그림 2e, 2f). 일부 시료에서는 방추충(fusulina)이 관찰되며(그림 3) 드물게 분절된 패각편이 관찰된다. 한편 신장형의 생쇄설물에서는 미크라이트 피복(micrite envelope)과 미세천공(microboring) 조직이 관찰된다.
Thin-section photomicrographs of the chertified skeletal packstone to grainstone pebbles. Scale bars are 300 ㎛. Various skeletal grains including bryozoans (B), benthic foraminifera (F), and tabulate corals (C) are observed. (a,c-f) are in plane-polarized light. (b) is in cross-polarized light of (a) showing chertification.
Thin-section photomicrographs of chertified fusulinid packstone to grainstone pebbles under plane-polarized light. Other skeletal grains are also present. Scale bars are 300 ㎛.
Thin-section photomicrographs of the oolitic chertified grainstone pebble. Concentric textures are preserved in some ooids (a, c, d) are in plane-polarized light. (b) is in cross-polarized light of a showing chertification. Scale bars are 300 ㎛.
Thin-section photomicrographs of chertified sponge-spiculite pebbles. (a, c) are in plane-polarized light. (b, d) are in cross-polarized light of a and c respectively showing chertification. Scale bars are 300 ㎛.
이 암석의 교질물과 기질의 원래 조직 특성은 쳐어트화 작용으로 인해 대부분 재결정화되었다. 어란상 입자암의 경우 입자 대부분이 펠로이드화 되어 동심원 또는 방사상 조직은 미약하게 나타나며, 미크라이트와 교질물로서의 스파라이트(sparite) 조직은 잔존되어 있다. 이들 쳐어트화된 석회암 역들과 함께 일부 쳐어트 역에서는 원양성의 골편(spiculite)들로 이루어진 침상구조가 관찰된다(그림 5).
4. 토 의
낙동층에서 산출되는 역들은 화강암, 편마암, 천매암, 규장암, 규암, 장석반암, 석영맥암 등으로 보고되었으며(Um et al., 1983), 지금까지 쳐어트 역의 산출은 보고된 바 없다. 한편 경상분지 북동측에 분포한 기사동층, 동화치층, 구미동층 등에서 원양기원의 방산충 화석을 함유한 쳐어트 역들이 보고된 바 있으며, 이들의 기원지는 남서 일본으로 해석되었다(Chang et al., 1990; Kamata et al., 2000; Mitsugi et al., 2001). 최근에는 경상분지 남동부에 발달된 이천리층과 다대포층에서도 방산충 쳐어트 역의 산출이 보고되었다(Kim et al., 2022; Chae et al., 2023).
이 연구에서 확인된 낙동층의 쳐어트 역에서도 부분적으로 원양성 쳐어트 역이 산출되지만, 대부분은 쳐어트화된 천해 기원의 석회암(skeletal packstone 내지 grainstone과 ooid grainstone) 역들이다. 이 천해 기원 석회암 역에서는 다양한 저서성 유공충과 태선동물, 산호편 등이 나타나고 이들 암석이 팩암 내지 입자암인 점, 그리고 어란상 입자암이 함께 나타나는 특성은 이들 석회암이 산호초 주변의 천해에서 쌓인 석회암임을 지시한다. 또한 생쇄설물 입자들에서 방추충과 판상산호가 산출함은 이들 석회암이 고생대 기원임을 지시한다.
한반도 남부에 발달된 고생대의 천해 기원 석회암층은 조선누층군과 평안누층군 하부 지층에서 나타난다. 이 중 방추충이 산출되는 석회암은 평안누층군의 하부 지층이다. Kim (1968)과 Chang (1988)은 연구지역의 낙동층에 대한 고수류 연구를 통해 전반적인 고수류 방향이 북동-동-남동 방향이었음을 제시하였다. 이는 연구지역 낙동층의 쳐어트 역들이 경상분지 서측으로부터 기원하였음을 지시하는 것이다. 따라서 연구지역으로부터 100 km 이상 북동측에 분포한 평안누층군 하부 지층은 연구 지역 쳐어트 역들의 기원암에서 배제할 수 있다. 그러므로 낙동층에서 새롭게 확인된 쳐어트화된 천해탄산염암 역의 산출은 경상분지 발달 초기에 분지 서측에 고생대 천해환경에서 형성된 탄산염암층이 부분적으로 존재했음을 명백히 지시하는 것이다.
지금까지 이루어진 경상누층군의 기원암에 대한 연구를 통해 낙동층의 기원암으로는 경상분지 서측의 영남육괴와 북서측의 옥천변성대에 발달된 심성암과 변성암이 제시되었다(Chang and Kim, 1968; Choi, 1986; Koh, 1986; Lee et al., 2015). 이와 함께 쇄설성 저어콘의 U-Pb 연대측정 자료를 기준으로 낙동층 기원암의 지질시대 특성이 해석되었다(Lee et al., 2018; Choi et al., 2020). Lee et al. (2018)은 경상분지 북부의 낙동층 기원암으로 중원생대, 전기고생대 및 트라이아스기-쥐라기의 암석이 우세한 것으로 제시하였다. 한편, Choi et al. (2020)은 경상분지 북부 지역 낙동층의 기원암에는 쥐라기의 심성암이 우세했을 것으로 분석하였다. Lim et al. (2019)은 미량원소 조성을 바탕으로 신동층군 퇴적 당시 서측에 맨틀쐐기의 감람암이 소규모로 분포했을 것으로 추정하였다. 하지만 지금까지의 연구에서 고생대의 천해탄산염암이 낙동층 기원암으로 제시된 바는 없다.
연구지역 낙동층에서 고생대 산호초 주변의 천해 탄산염암 기원의 쳐어트 역과 원양성 쳐어트 역이 함께 산출되며, 이 지역 낙동층의 고수류 방향이 주로 북동–동–남동 방향으로 나타나는 점은 낙동층 퇴적 당시 경상분지 서측에 현재는 삭박되어 사라진 해양성 퇴적암을 포함하는 고지형의 기원지가 존재했음을 시사한다. 이러한 기원지는 기존에 제안된 영남육괴 기반암뿐만 아니라, 그 상부에 놓였을 가능성이 있는 해양성 퇴적층을 포함했을 가능성을 내포한다.
이 연구에서 산출된 쳐어트 역들은 천해 탄산염암과 원양성 쳐어트가 동일한 기원지로부터 공급되었을 가능성을 보여주며, 이는 경상분지 서측 기원지에 고생대 해양환경에서 형성된 퇴적암들이 부분적으로 분포하였을 가능성을 제시한다. Lim et al. (2019)은 쥐라기 말–백악기 초기 사이 영남육괴에 소규모 고철질암체의 존재 가능성을 제안하였으며, Paik et al. (2020) 역시 낙동층 상부와 하산동층 하부에서 쳐어트 역과 크롬운모편(chrome mica clasts)이 함께 산출되는 점을 근거로 신동층군 퇴적 당시 경상분지 서측 영남육괴에 부가복합체가 국지적으로 분포했을 가능성을 제시하였다.
이상의 연구 내용들을 바탕으로 낙동층과 하산동층에서의 해양퇴적암 역과 초염기성암 기원 퇴적물의 층서적 산출 특성은 다음과 같은 퇴적과정으로 해석해 볼 수 있다. 경상분지 서측에 발달되어 있던 부가복합체의 구성물인 오피올라이트(ophiolite) 최상부 물질인 천해탄산염암이 먼저 삭박되고, 이후 그 아래의 원양성 쳐어트, 그리고 하위에 놓인 초염기성암이 순차적으로 삭박되어 경상분지로 유입되면서 낙동층 중부에 천해탄산염암과 원양성 방산충 쳐어트 역, 그리고 낙동층 상부와 하산동층 하부에 원양성 쳐어트와 초염기성암 물질이 순차적으로 공급되어 퇴적된 것으로 해석된다.
이러한 해석은 신동층군 사암 내 쇄설성 크롬 첨정석의 화학조성을 근거로 전호 맨틀감람암의 정치 모델을 제시한 Lee and Lim (2022)과 이를 종합적으로 정리한 Lee et al. (2023)의 연구 결과와 함께 복합적으로 고려될 필요가 있다. 즉, 낙동층과 하산동층에서 관찰되는 해양퇴적암 기원의 역과 초염기성암 기원 쇄설물의 산출은 경상분지 서측 기원지에 분포했던 서로 다른 해양성 및 맨틀기원 암석들이 지구조 운동과 삭박 과정에 의해 시·공간적으로 변동하는 공급원으로 작용했을 가능성 또한 내재하기 때문이다.
한편, 현재 일본 지역에 분포하는 선백악기 이전의 부가복합체에서 쳐어트화된 천해 탄산염암의 산출 사례가 보고되지 않은 점(Moreno et al., 2016)을 고려할 때, 본 연구에서 확인된 천해 탄산염암의 쳐어트화 작용 시기와 과정에 대해서는 추가적인 검토가 필요하다. 이들 탄산염암은 남중국지괴(양쯔지괴)에 발달한 고생대 탄산염 대지와의 연관성을 포함하여, 광역적인 고지리·지구조 배경 속에서 복합적으로 해석될 여지가 있으며, 이에 대해서는 향후 보다 정밀한 연대 자료와 광역적인 기원암 연구가 필요하다.
5. 결 언
경북 왜관 지역의 낙동층 중부 퇴적층에서 경상분지 서측에서 유입된 심해 쳐어트 역과 쳐어트화된 천해기원의 석회암 역이 최초로 발견되었다. 이들의 존재는 경상분지 발달 초기의 서측 기원지에도 선백악기에 형성된 부가복합체가 존재하였을 가능성이 있음을 제시한다. 낙동층 산출 천해탄산염암 역을 구성하는 생쇄설물 입자들(유공충, 태선동물, 산호 등)의 구체적인 종류와 지질시대 등에 대한 후속연구가 이루어진다면 경상분지 기원지에 존재했던 부가복합체 암석의 구체적인 지질시대가 밝혀질 수 있을 것이다.
이 연구는 선경상분지 시기의 서측 기원암과 고지형에 대한 새로운 정보를 예비적으로 보고하는 것으로, 향후 낙동층 분포 지역 전반에 걸친 광역적인 후속연구를 통해 선경상분지 시기에 한반도 동남부 지역의 지질과 고지형, 지구조환경에 대한 보다 입체적인 연구가 이루어지기를 기대한다.
Acknowledgments
이 논문은 부산대학교 기본연구지원사업(2년)에 의해 지원되었습니다. 심사과정에서 좋은 의견을 주신 심사위원과 편집위원께 감사드립니다.
References
-
Chae, Y.U., Ha, S., Joo, Y.J., Paik, I.S., Kang, H.C. and Lim, H.S., 2023, Detrital zircon U-Pb ages of the Cretaceous Dadaepo Formation in Busan, Korea and their geological implication. Episodes, 46, 269-279.
[https://doi.org/10.18814/epiiugs/2022/022031]
-
Chang, K.H., 1975, Cretaceous stratigraphy of southeast Korea. Journal of the Geological Society of Korea, 11, 1-23.
[https://doi.org/10.14770/jgsk.1975.11.1.1]
-
Chang, K.H., 1977, Late Mesozoic stratigraphy, sedimentation and tectonics of southeastern Korea. Journal of the Geological Society of Korea, 13, 76-90 (in Korean with English abstract).
[https://doi.org/10.14770/jgsk.1977.13.2.76]
-
Chang, K.H., 1988, Cretaceous stratigraphy and paleocurrent analysis of Kyongsang Basin, Korea. Journal of the Geological Society of Korea, 24, 194-205.
[https://doi.org/10.14770/jgsk.1988.24.3.194]
-
Chang, K.H. and Kim, H.M., 1968, Cretaceous paleocurrent and sedimentation in northwestern part of Kyongsang basin, southern Korea. Journal of the Geological Society of Korea, 4, 77-97.
[https://doi.org/10.14770/jgsk.1968.4.2.77]
-
Chang, K.H., Woo, B.G., Lee, J.H., Park, S.K. and Yao, A., 1990, Cretaceous and Early Cenozoic stratigraphy and history of eastern Kyongsang Basin, S. Korea. Journal of the Geological Society of Korea, 26, 471-487.
[https://doi.org/10.14770/jgsk.1990.26.5.471]
-
Cheon, Y., Ha, S., Lee, S. and Son, M., 2020, Tectonic evolution of the Cretaceous Gyeongsang Back-arc Basin, SE Korea: Transition from sinistral transtention to strike-slip kinematics. Gondwana Research, 83, 16-35.
[https://doi.org/10.1016/j.gr.2020.01.012]
- Cheong, C.H. and Paik, K.H., 1992, A Study on the Geummubong Peak tree fern fossil site (Natural Monument No. 146). In: Survey Report on Natural Monuments (Fossils and Rocks) and Dinosaur Footprint Fossils (ed., The Geological Society of Korea), 3-41.
-
Choi, H.I., 1986, Sedimentation and evolution of the Cretaceous Gyeongsang Basin, southeastern Korea. Journal of Geological Society of London, 143, 29-40.
[https://doi.org/10.1144/gsjgs.143.1.0029]
-
Choi, T., Lee, Y.I., Lim, H.S. and Orihashi, Y., 2020, Detrital zircon geochronology of the Cretaceous Sindong Group, Gyeongsang Basin, Korea and its implications for paleodrainage systems. Episodes, 43, 711-738.
[https://doi.org/10.18814/epiiugs/2020/020046]
-
Chough, S.K. and Sohn, Y.K., 2010, Tectonic and sedimentary evolution of a Cretaceous continental arc-backarc system in the Korean peninsula: New view. Earth-Science Reviews, 101, 225-249.
[https://doi.org/10.1016/j.earscirev.2010.05.004]
-
Kamata, Y., Hisada, K.-I. and Lee, Y.I., 2000, Late Jurassic radiolarians from pebbles of Lower Cretaceous conglomerates of the Hayang Group, southeastern Korea. Geosciences Journal, 4, 165-174.
[https://doi.org/10.1007/BF02910135]
- Kang, H.-C. and Paik, I.S., 2013, Review on the geological ages of the formations in the Gyeongsang Basin, Korea. Journal of the Geological Society of Korea, 49, 17-29 (in Korean with English abstract).
-
Kim, H.J., Paik, I.S., Park, J.G., Jeong, E.K., Kim, K., Baek, S.G., Seo, Y.K., Kim, Y.-S. and Lee, H., 2022, Cretaceous Icheonri Formation at Sinpyeongri Coast, Gijang County, Busan, Korea: Occurrences and values in geological heritage. Journal of the Geological Society of Korea, 58, 1-22 (in Korean with English abstract).
[https://doi.org/10.14770/jgsk.2022.58.1.1]
- Kim, H.M., 1968, Paleocurrent Study of Gyeongsang Group in Northwestern part of Gyeongsang Basin. M.S. degree, Kyungpook National University, 32 p.
- Kim, K.S., Paik, I.S., Kang, H.C., Kim, K., Jeong, E.K. and Seo, S.J., 2015, Comprehensive Academic Study and Specimen Investigation Report on the Geummubong Peak tree fern fossil site, Chilgok-gun, 406 p.
-
Koh, I.S., 1986, Study on the source rocks of the Nagdong Group. Journal of the Geological Society of Korea, 22, 233-256 (in Korean with English abstract).
[https://doi.org/10.14770/jgsk.1986.22.3.233]
- Koto, B., 1903, An orographic sketch of Korea. Journal of the College of Science, Imperial University, Tokyo, 19-1, 1-16.
-
Lee, D.W., 1999, Strike-slip fault tectonics and basin formation during the Cretaceous in the Korean Peninsula. Island Arc, 8, 218-231.
[https://doi.org/10.1046/j.1440-1738.1999.00233.x]
- Lee, T.-H., Park, K.-H. and Yi, K., 2014, Formation age of the Gyeongsang Basin and early Cretaceous tectonic setting of Korean peninsula. Proceedings of the Annual Joint Conference of the Petrological Society of Korea and the Mineralogical Society of Korea, 18-19.
-
Lee, T.-H., Park, K.-H. and Yi, K., 2018, Nature and evolution of the Cretaceous basins in the eastern margin of Eurasia: A case study of the Gyeongsang Basin, SE Korea. Journal of Asian Earth Sciences, 166, 19-31.
[https://doi.org/10.1016/j.jseaes.2018.07.004]
-
Lee, Y.I., Lee, J.I. and Choi, Y.S., 2023, Provenance analysis of the Cretaceous Gyeongsang Basin, SE Korea: A synthesis and tectonic implications for active continental margin in East Asia. Earth-Science Reviews, 238, 104224
[https://doi.org/10.1016/j.earscirev.2023.104334]
-
Lee, Y.I. and Lim, H.S., 2022, Detrital chromian spinels in the Cretaceous Sindong Group, SE Korea: Implications for tectonic emplacement of hydrated mantle peridotites, Journal of the Geological Society, 179, jgs2022-003.
[https://doi.org/10.1144/jgs2022-003]
-
Lee, Y.I., Yi, J. and Choi, T., 2015, Provenance analysis of Lower Cretaceous Sindong Group, Gyeongsang Basin, Korea using integrated petrography, quartz SEM-cathodoluminescence, and zircon Zr/Hf analysis. Journal of Sedimentary Research, 85, 529-543.
[https://doi.org/10.2110/jsr.2015.36]
-
Lim, H.S., Choi, T., Lee, H. and Lee, Y.I., 2019, Trace-element composition of the Cretaceous Sindong Group, Gyeongsang Basin, Korea and its implication for provenance. Journal of the Geological Society of Korea, 55, 531-549 (in Korean with English abstract).
[https://doi.org/10.14770/jgsk.2019.55.5.531]
-
Mitsugi, T., Ishida, K., Woo, B.-G., Chang, K.-H., Park, S.-O. and Hirano, H., 2001, Radiolarian-bearing conglomerate from the Hayang Group, the Kyongsang Supergroup, southeastern Korea. Journal of Asian Earth Sciences, 19, 751-763.
[https://doi.org/10.1016/S1367-9120(01)00004-9]
-
Moreno, T., Wallis, S., Kojima, T. and Gibbons, W.(eds), 2016, The Geology of Japan. The Geological Society of London, 522 p.
[https://doi.org/10.1144/GOJ]
- Ogura, Y., 1927, Comparative anatomy of Japanese Cyatheaceae. J. Fac. Sci. Imp. Univ. Tokyo, Bot., 1, 141-350.
-
Ogura, Y., 1941, Additional notes on the structure of fossil tree ferns. Bot. Mag., Tokyo, 55, 453-461.
[https://doi.org/10.15281/jplantres1887.55.453]
-
Okada, H., 1999, Plume-related sedimentary basins in East Asia during the Cretaceous. Palaeogeography, Palaeoclimatology, Palaeoecology, 150, 1-11.
[https://doi.org/10.1016/S0031-0182(99)00003-6]
- Paik, I.S., Kim, H.J., Kang, H.C., Seol, W.K., Kim, K. and Jeong, E.K., 2014, Sedimentary facies and depositional environments of the Nakdong Formation in the Geummubong Peak tree fern fossil site (Natural Monument No. 146). 2014 Fall Joint Conference of the Geological Science in Korea (Abstracts), Gangwon, October 29-November 1, p. 304 (in Korean).
-
Paik, I.S., Kim, H.J., Hwang, J.Y., Park, J.G., Lee, H. and Park, M.E., 2020, Occurrences and provenance of the chrome mica clasts from the lower part of the Hasandong Formation, Hadong, Gyeongsangnam-do, Korea. Journal of the Geological Society of Korea, 56, 311-326 (in Korean with English abstract).
[https://doi.org/10.14770/jgsk.2020.56.3.311]
- Tateiwa, I., 1929, Geological Atlas of Chosen, Waegwan, Daegu, Yeongcheon, Gyeongju, and Joyang sheets. Geological Survey of Chosen (Korea).
- Um, S.H., Choi, H.I., Son, J.D., Oh, J.H., Kwak, Y.H., Shin, S.C. and Yun, H.S., 1983, Geological and Geochemical Studies on the Gyeongsang Supergroup in the Gyeongsang Basin. Korea Institute of Energy and Resources Bulletin, 36, 124 p (in Korean with English abstract).
